
牙齒意外脫落
牙裂/缺損
牙縫大/牙列稀疏
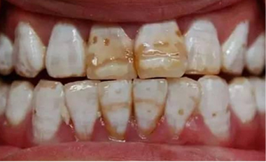
黃牙/黑牙/色素牙
牙釉質發育不全
烤瓷牙失敗


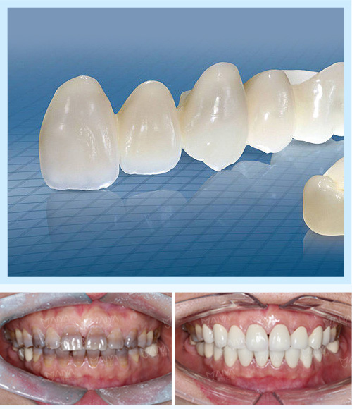
麥芽口腔美學修復中心引入全數字化口腔科技及歐美生態全瓷材料,可以根據顧客嘅臉型、唇形、牙齒形態、排列狀態等進行個性化綜合設計,唔單止考慮咬合關係,更兼顧牙顎面嘅整體美觀同協調,設計出符合美學、醫學、材料學、口腔力學嘅明星全瓷牙。


麦芽仿生美容冠在扫描、设计、加工以及修复环节,全流程采用数字化修复方案,采用仿生材料,色泽逼真、通透自然,媲美真牙,持久耐用。



采用高科技生物材料,对牙龈无刺激、无过敏反应,磨牙少,没有金属基底冠的存在,有效避免了金属过敏和牙龈黑线等问题的出现。外形美观自然,可达到仿真效果。



根据求美者牙齿高低厚薄进行3D精细化量齿定制,采用牙齿粘结技术,在保存活髓、不磨牙的情况下,对牙体表面缺损、着色牙、变色牙和畸形牙等用高科技瓷修复材料粘结覆盖其表面,以恢复牙体的正常形态和改善其色泽。





品牌優勢
三城十院
診療設備
品質保障
服務保障
誠信醫療保障計劃
麥芽榮譽
大咖點讚屢獲殊榮


