矫牙是我在20岁做的最正确的决定
麦芽智能AI在线 · 点击咨询 来源:麦芽糖编辑社 更新:2019-11-25 10:44
*说明:文章信息仅供参考,不作为临床口腔医学诊断依据。
过去的困扰
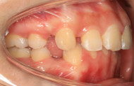
“以前牙不齐,两颗上门牙有点突,被人说是‘老鼠牙’,还有深覆颌(刚开始我不懂,后来做了小百科哈,如果你们跟我一样,牙齿咬合状态时,上门牙盖住了下门牙,超过了1/3就被称为深覆合),导致了我每次拍照的时候从来都不笑,一定要笑,也是笑不露齿的那种。

改变开始
2019/07/1现在的我
开门见山,20岁,坐标广东,“以前牙不齐,两颗上门牙有点突,被人说是‘老鼠牙’,还有深覆颌(所谓的深覆合就是牙齿咬合状态时,上门牙盖住了下门牙,一般1/3是比较正常的,超过了1/3就被称为深覆合),导致了我每次拍照的时候从来都不笑,一定要笑,也是笑不露齿的那种。”真的很像假笑女孩~[○・`Д´・ ○].牙齿不齐,对口腔清洁也是非常遭罪,这个本人是深有体会啊

2019/07/16 确定矫牙
“女孩子都是爱美的”,讲真,多少还是羡慕那些大笑又很美的女生,一口整齐的白牙,弯弯的笑眼,自信爽朗的笑容。加上自己是护士专业,做口腔科护士一年多,因为自己本身接触到正畸,也做过配台,更加觉得牙齿矫正是必要的,所以没有怎么犹豫就选择了做矫正。

2019/07/19 第一次初诊
确定矫牙后,选了好几家医院,最后闺蜜良心推荐去麦芽,原因是闺蜜早之前也是在这边做过牙齿矫正的,现在牙齿已经全部排齐了,所以极力推荐我来这边。另一方面是麦芽口腔大量的正畸成功案例也让我更坚定了要马上开始正畸的决心!”来院后,从挂号到医生看诊,都有人服务,虽然当天人多了点,但是体验还是不错的!内心给闺蜜点个赞,推荐的果然很专业!

填了单子后有专门的医师带你去拍全景片,定方案,取模,真的很省心,完全不用担心各种问题。
先是检查和清洁牙齿,然后主任给我订制了数字化精确托槽。还是那句老话:爱笑的妹子运气都不会差,牙套妹也是一样,平常心对待嘴里的两根钢丝,不管是什么材质的托槽,勇敢的笑吧。一周后再来院戴牙套,内心有点小期待....
2019/07/27 来院正式戴牙套
马上又一周啦,这次来院正式戴牙套,还是上次的那个主任,因为自己的学医的,护士专业,会爽快点,矫牙的时候完全没有犹豫,而且选择的是余医生,很信任余医生的技术,也了解正畸的步骤,所以会很爽快,不会说忐忑和犹豫。

2019/08/30 戴了牙套笑的更自信了
今天来说说戴牙套感受吧,3-5天的时候还是有一点酸软,不能吃骨头、鸡爪这些硬的东西,习惯了之后觉得没什么了。现在就是吃什么都无所谓。身边的人也完全没有‘另眼相看’,可能是因为周围人也都是学医的,好几个朋友也在矫牙,大家都习以为常。矫了牙后,露出牙套也丝毫不在意,自己感觉比之前爱张嘴笑了,笑起来也自信大方,没有以前沉默不笑的样子了。期待牙齿渐渐排齐的样子(*^▽^*)

*提交信息后,工作人员将致电回访,与您确定到院时间,小麦为您自动排号,为您节省看牙的时间。












转载
咨询














































