时尚潮妈:谁说30岁不能有爱美的少女心?
麦芽智能AI在线 · 点击咨询 来源:麦芽糖编辑社 更新:2019-11-27 16:03
*说明:文章信息仅供参考,不作为临床口腔医学诊断依据。
过去的困扰
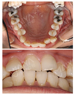
30岁的宝妈报个道!30岁之后的我仍然抱有一颗爱美的少女心,并不是为了取悦别人,而是希望自己能过得更优雅而精致。生了孩子后,我比以前更热爱生命享受生活,我想要蜕变得更好,成为孩子的榜样。过去只专注于打拼事业、证明自己,并没有过多的考虑口腔健康,我的一口歪牙让我的牙齿不易清洁,造成了牙体较大面积龋坏,这也是当时不够重视口腔健康的后果。

改变开始
2018年5月 矫牙进行时
目前矫牙已经进行了4个月,隐形牙套让我在各种场合不用因戴钢牙套而露出尴尬又不失礼貌的微笑,我可以安静地泡在书吧里,轻啜慢饮小巧的茶点、可人的冰淇淋,或者是去酒吧豪饮啤酒high一场,或是享受美好的旅行时光,我都可以毫无顾虑地尽情释放自我……

2018年3月 牙套摘戴很方便,一点都不影响发音
今天整理照片翻出来在口腔医院的图片,这是上次护士拍主任在跟我讲方案时候的情况,当天解答了我很多疑惑,能看到主任的样子吗,真正的实力派哦~戴牙套戴了一段时间,每次都是吃东西的时候拿下来,也就几秒钟的事情,唯一不能忘的是,戴牙套前一定要刷牙,因为我蛀牙的原因所以我的自律性还是蛮好的,平时讲课也不影响发音,如果仔细听,会发现和之前的声音稍微有点区别的,但是真的不影响!

2018年2月 拿到我的第一副隐形牙套
牙套到手了,一个很精致的小盒子装着,放到包里也不占地方。主任教怎么戴牙套,刚套上去的时候稍微有点紧,能感受到牙套的力量,牙齿就像穿了一层薄纱,莫名觉得牙齿有那么一点点呆萌的感觉!害怕回去之后不会戴,还特意让旁边的护士拿手机录了个小视频,拍了几张照片,但是貌似用不上了,上图说话吧~~还有看了一下来复诊的顾客嘴巴戴的牙套,站在一米左右的位置基本就是看不到牙套的,不过这刚好符合我的职业,为人师表形象不能吓到我的学生,还有我家里的那个小宝贝!

2018年1月 方案定制
因为我牙齿状况不是很好,所以要先治疗,提醒想矫牙的宝宝们,尽早!就像江洋主任说的,成年人矫牙虽然可以,但是要考虑牙周问题,而且矫牙的时间也会长,我觉得很多人跟我一样,没有保健意识,觉得什么都无所谓。补了牙,买的矫牙套餐里面有个全套的洁牙,医院有专门的洗牙间,两个小护士给洗的,大概20分钟左右的样子,很舒服,还拿个小镜子一样的东西在嘴巴里,咔嚓咔嚓几下,眼前那个牙齿的面貌就投放上去了,必须要说的是服务蛮好的。
为我量身制定矫牙方案的还是麦芽口腔南山机构正畸中心江洋主任,简单的沟通已经能看出江主任理论基础扎实,在了解到他尤其擅长对各年龄段人群的疑难口腔错颌畸形矫治后,我这颗之前因为年龄而对矫牙有所畏惧的悬着的心也终于掉了下来。我对江主任的方案非常满意,想着矫牙之后不但牙齿排列整齐了,连脸型也能得到修饰,我的少女心砰砰砰跳个不停。

2018年1月 隐形矫牙满足了我爱美的少女
女生本来就爱美,想通过矫正牙齿来变美的时候怎么能容忍佩戴丑丑的金属牙套?并且因为从事培训师、HR的工作,我需要经常面对百人授课,如果矫牙过程形象太难看、速度太慢,授课的效果会大打折扣。所以,我选择了麦芽双膜隐形矫正,可以提速30%,大概能节约半年的时间。



*提交信息后,工作人员将致电回访,与您确定到院时间,小麦为您自动排号,为您节省看牙的时间。












转载
咨询














































